| Before | After |
|---|---|
![]() Underbite before | ![]() Underbite after |
![]() Deep overbite with spacing | ![]() Opening the deep overbite prevents wearing of the incisal edges. |
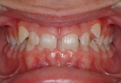
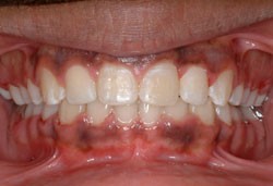
![]() Crowding | ![]() This 12-year-old had a great improvement in his smile esthetics. WOW! He has a fantastic smile!!! |
![]() Spacing | ![]() Orthodontic treatment of spacing can be corrected by moving the teeth together and properly aligning them with the dental arch. |







